最新研究:新冠住院者心肌炎发生率提高16倍,BA.5心肌损伤与Delta相似

编辑:女子坊2023-01-08 09:20:06百姓民生
字体:
浏览:
文章简介:心肌炎扎堆,新冠后出现心肌炎的机会大吗?后果严重吗?阳康后出现心肌炎的问题远远没有那么简单……近期,各地陆续出现多例阳康后剧烈运动导致心肌炎猝死的报道。先是广东14岁少年因急性心肌炎就医广东省人民医院[db:内容简介]

心肌炎扎堆,

新冠后出现心肌炎的机会大吗?

后果严重吗?

阳康后出现心肌炎的问题远远没有那么简单……

近期,各地陆续出现多例阳康后剧烈运动导致心肌炎猝死的报道。

先是广东14岁少年因急性心肌炎就医广东省人民医院儿科急诊,抢救多日,令人担忧;再是40岁青壮年律师阳康后健身,出现暴发性心肌炎不幸猝死。

据了解,这段时间是心肌炎的集中爆发期,河北省某三甲医院急诊科主任表示,自己接诊过 3 例病毒性心肌炎,患者年龄 28~35 岁不等,均无基础疾病,在感染新冠后 2~4 天发病,进展迅速,出现呼吸心跳骤停。

北京和睦家医院心血管中心主任、心血管内科主任医师王德昭也表示,仅12月27日一天,就有18名“阳康”者前来预约就诊,他们出现了不同程度的乏力,一直有心慌、胸闷、胸部压迫等症状,很害怕会像新闻报道的那样出现暴发性心肌炎,所以都来检查心脏。

为了给新冠感染者进行心脏会诊,王德昭每天奔波于发热门诊、急诊和病房,这些患者全都是新冠感染伴心肌酶、肌钙蛋白升高。这些指标和心肌损伤有关,数值增幅越大,心肌受损面积越大。

不少人会问,新冠和心肌炎有关吗?

答案是肯定的,约有20余种病毒可引起暴发性心肌炎,其中以柯萨奇病毒为主。此外,新冠病毒、腺病毒、甲流H1N1、EV-71均可导致暴发性心肌炎。

出现了心肌炎,心肌组织会呈现局限性或弥漫性的急性或慢性炎症性病变,有炎性细胞浸润、心肌细胞损伤坏死及纤维化等病理改变。绝大部分心肌炎能自愈或经治疗后痊愈,只有极少数可能发生急性心衰,危及生命。引起心肌炎的原因很多,最常见的就是病毒感染,而病毒感染导致的暴发性、急性心肌炎是最危险的。

虚弱的身体经过病毒的反复攻击,一旦出现暴发性心肌炎,常引起急性心力衰竭、严重的心律失常和心源性休克,具有起病急、病情重、进展快、预后差的特点,在短时间内突然出现生命体征的不平稳,如血压下降、意识不清,甚至心脏骤停、心源性猝死,可伴有呼吸衰竭和肝肾功能衰竭,死亡率高达80%。

鉴于暴发性心肌炎的危害,欧美等国在接收新冠感染者时,若需急诊或住院治疗,心电图、心肌酶、超声心动图这3项检查肯定会做,以排查心肌炎及其他心脏并发症。

那么,新冠和心肌炎有多少关联性呢?

2022年3月,美国心脏病学会(ACC)发布了《成年人新冠感染心血管后遗症的专家共识决策路径》,其中明确新冠感染可引起心肌损伤,包括心肌炎、1型心梗和2型心梗、儿童和成人多系统炎症综合征(MIS)、Takotsubo(应激性)心肌病等。

另外,美国CDC的数据表明,男性、50岁以上成人以及16岁以下儿童是Covid-19相关心肌炎的高危因素。

NEJM上的一篇最新综述表明,心肌炎在Covid-19患者中的真正发病率很难确定,因为早期报告缺乏明确的心肌炎诊断方法,而且反映心肌损伤的生物标志物也可能与非原发性心肌损伤(多器官衰竭、缺氧、低灌注和凝血异常)有关。

有研究报告指出,根据血清心肌酶升高判断,重型Covid-19肺炎患者中,15%~27.8%会发生心肌损伤。此外,未出现肺炎的Covid-19患者也可能发生心肌炎,这表明即使症状轻微的患者,也有可能出现晚期心血管并发症。

事实上,新冠感染后炎性因子释放越多、全身症状越重,心肌受损也可能更严重。2021年上半年,美国统计900余家医院数据发现,新冠感染住院者的心肌炎发生率,是非新冠感染住院者的16倍。

近日,一项发表在 Circulation 的研究对欧美23 家医院5.6 万余因COVID-19住院的患者进行了分析。

研究表明,明确诊断或很可能是心肌炎患者的患病率为2.4例/1000例患者,如果将可能是心肌炎的病例也包括在内,患病率为4.1例/1000例患者。患者的中位年龄38岁,61.1%为男性。38.9%的COVID-19急性心肌炎患者有暴发性表现,需要肌力支持或临时机械循环支持,70.4%入住重症监护病房。

韩国的一项研究纳入181656例住院患者。在随访期间,心肌炎/心包炎的发生率为0.08%(每1000例住院患者0.78例)。

对于一般人群,英国的数据提示,SARS-CoV-2感染后每百万人中有40起额外心肌炎事件,其中SARS-CoV-2检测阳性后1~7天心肌炎发病率比(IRR)为21.08,8~14天IRR为11.29,15~21天IRR为5.36,21~28天的IRR为3.08。

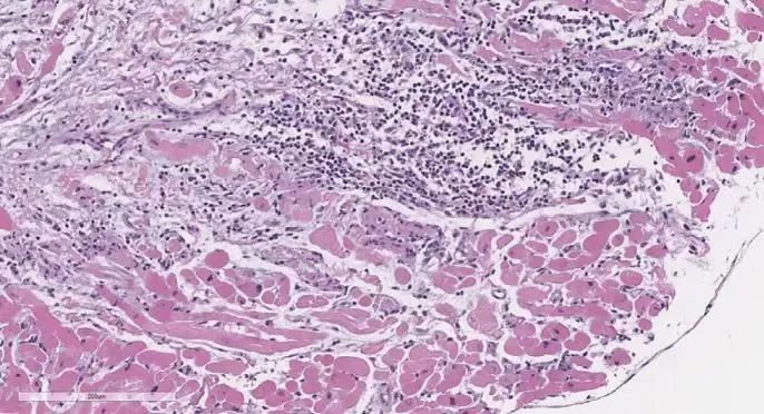
COVID-19患者的尸检结果也各不相同。在22项共277例心脏尸检中,典型心肌炎占7.2%,非心肌炎性的炎症浸润占12.6%,单细胞缺血(既往称为单个心肌细胞坏死、心肌细胞损伤、局部坏死)占13.7%,急性心肌梗死占4.7%,47.8%的患者至少有一种心血管组织病理学异常,包括大血管或微血管血栓、炎症或腔内巨核细胞等。

总的来说,这些数据表明,尽管暴发性心肌炎作为死亡原因是罕见的,但死亡病例中非特异性心脏炎症和/或损伤并不少见。

STTT: 奥密克戎BA.5对心肌的损伤比BA.1更强,与Delta相似

奥密克戎是大号流感?

并不是,最新研究显示,事实很不一般。

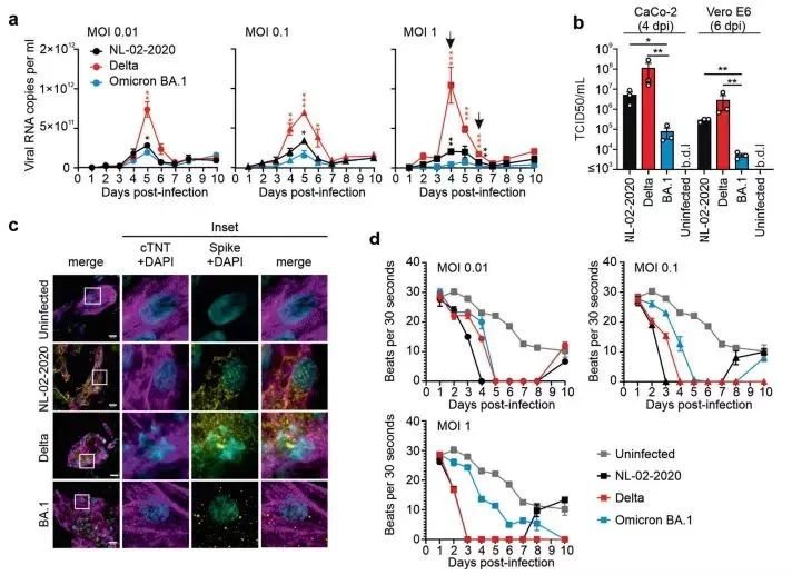
2022年12月25日,德国乌尔姆大学的研究人员在 Signal Transduction and Targeted Therapy 期刊上发表了一篇题为 Strong attenuation of SARS-CoV-2 Omicron BA.1 and increased replication of the BA.5 subvariant in human cardiomyocytes 的研究论文。

由于心肌细胞高度表达新冠病毒受体ACE2,因此它是新冠病毒感染心肌细胞的关键受体,研究人员通过体外培养的心肌细胞测试了原始毒株、Delta、Omicron BA.1、BA.2和BA.5的复制能力以及对细胞的伤害。

通过对心肌细胞的跳动测量显示,在10天内,未感染的心肌细胞跳动速率从每30秒跳30次稳步下降至10次,而感染原始毒株或Delta的心肌细胞通常在第3-5天完全停止跳动。相比之下,感染BA.1的心肌细胞停跳时间有所延迟。

对于毒性来说,与原始毒株和BA.1相比,Delta具有更强的细胞病变效应。通过显微镜观察,在感染的第三天,感染原始毒株和Delta的心肌细胞,失去了心肌肌钙蛋白T阳性肌节结构,而感染BA.1的心肌细胞还保持着组织良好的肌节结构。

从病毒复制来看,不同的新冠变异株都能感染心肌细胞,病毒产量通常在感染后约5天达到最大值,与BA.1相比,原始毒株和Delta的复制能力更强,并且产生的传染性病毒粒子高出约2-3个数量级。

研究还发现,与BA.1相比,BA.5变体的复制能力更强,产生更具传染性的病毒,能引起更强的细胞病变效应,并且能更快地让心肌细胞停止跳动,或与Delta相似。

Delta变体在心肌细胞中的复制能力和破坏力远强于BA.1变体,这尚在研究人员的预料之中;令人惊讶的是,对于BA.2,尤其是BA.5变体,在心肌细胞中的复制能力和损伤能力也远强于BA.1,类似于Delta变体,这太让人感到悲观了。

不过,需注意的是,这是一项体外研究,在人体内是否如此,还有待验证。

阳康者要保护好小心脏!

Nature & BMJ:转阴后如何进行运动?

《成年人新冠感染心血管后遗症的专家共识决策路径》已经明确指出,高龄、男性、有潜在心血管疾病、肥胖、糖尿病、高血压、免疫抑制和严重全身性疾病等人群,感染新冠后更易出现心肌炎。

2022年5月,澳大利亚加文医学研究所免疫基因组学实验室负责人、新南威尔士大学细胞基因组学未来研究所主任 Chris Goodnow 不幸感染了新冠。

2个月后,Chris Goodnow 教授根据自身痛苦的体验,撰写了《一名澳洲免疫学家的反思:从感染新冠患上心肌炎说起》。

Chris Goodnow 在抗体研究方面有40年经验,对新冠有深入了解。他在文中表示,虽然自己完成了足量的疫苗接种,可在感染奥密克戎之后还是伴发了心肌炎。他在康复后仍有心脏症状,他形容这是一次可怕的经历,“新冠不是普通感冒,感染康复后并不代表可以高枕无忧。”

笔者由此想到了一些人真的什么都不在乎,在阳康后竟然立刻去健身房撸起了铁,这实在太过不明智了!

近期,Nature Medicine发表了一篇Risks of myocarditis, pericarditis, and cardiac arrhythmias associated with COVID-19 vaccination or SARS-CoV-2 infection 的研究论文,为阳康者的运动恢复给出了科学建议。

该研究指出,新冠病毒容易诱发心肌炎,第一周相对风险率最高(IRR)为16,第二周为7.0,第三周为3.0,第四周则为1.5。

因此,新冠病毒感染后一至二周务必要好好休息,绝不能存在侥幸心理,过了二周后一般比较安全,但是一个月之内不要进行激烈的运动为好。

文中强调,阳康后前两周任何运动都是有害的,两周后,我们可以先尝试低强度的运动如走路,慢跑等,将心率控制在最大心率(220–年龄)的 70% 以下,且时间不要超过 15 分钟;然后再逐渐增加运动量直至新冠前的水平。

而对于新冠感染期间被诊断为心肌炎的患者,应停止剧烈运动 3~6 个月,甚至较为激烈的性生活都是不被允许的。3~6 个月后需经过心肌酶、心电图、Holter和/或心脏MRI的评估,然后再进一步制定恢复运动的方案。

阳康后,具体的一些运动该如何去做呢?

发表在BMJ上的一篇文章 Returning to physical activity after covid-19 指出,感染COVID-19住院后,重新开始体育运动可能存在一些风险,但对于那些感染后身体无症状或只出现轻症、中症状且无需住院的人,可以在转阴的两周后恢复身体活动。但是依旧要从较低强度的运动内容开始。

文中给出了四个主要的运动阶段。

第1-2阶段:

在康复后的两周,建议进行极低强度的运动训练。当进行极低强度运动时,RPE不应该超过11。活动内容包括简单的散步、家务活恢复肺部功能的呼吸训练改善灵活性的拉伸练习以及提高稳定性的平衡及瑜伽练习等低强度运动。

第3-4阶段:

一个月后,建议采取间歇性中等强度的运动。例如间歇性快走、慢跑、上下楼梯、游泳等,每组运动时间不超过5分钟。每组运动过程中不应该感觉到运动很难,RPE在12-14中间,即心率在120-140之间。当然还需要注意心率不能超过自己的最大心率。最大心率的计算公式可以通过“(220-年龄)=最大心率”快速得出。

两篇研究都表明,转阴后两周内切不可进行剧烈运动,保护好自己的心脏,预防心肌炎,万不可随便乱显能、乱作妖。

参考文献:

[1].Risks of myocarditis, pericarditis, and cardiac arrhythmias associated with COVID-19 vaccination or SARS-CoV-2 infection

[2]. Ammirati, E. et al. Prevalence, Characteristics, and Outcomes of COVID-19-Associated Acute Myocarditis. Circulation 145, 1123–1139 (2022).

[3]. Nchioua, R. et al. Strong attenuation of SARS-CoV-2 Omicron BA.1 and increased replication of the BA.5 subvariant in human cardiomyocytes. Signal Transduct. Target. Ther. 7, 395 (2022).

[4]. Patone, M. et al. Risks of myocarditis, pericarditis, and cardiac arrhythmias associated with COVID-19 vaccination or SARS-CoV-2 infection. Nat. Med. 28, 410–422 (2022).

[5]. Salman, D. et al. Returning to physical activity after covid-19. BMJ 372, m4721 (2021).

撰文 | 阿拉斯加宝